
Pijnverlichting met zo min mogelijk bijwerkingen.
Neem contact opPragmatisch en met kunde. Ons doel is om zo snel mogelijk verlichting te bieden met zo weinig mogelijke bijwerkingen. Hierbij maken we gebruik van geavanceerde technieken zoals echografie, waardoor we preciezer kunnen behandelen en de kans op complicaties gering is.
Daarnaast gebruiken we o.a. gepulseerde radiofrequente behandelingen, pijnstillende crèmes en acupunctuur, en werken we samen met gespecialiseerde fysiotherapeuten om de pijn te verminderen. Alles onder één dak.
Wij behandelen neuropathische pijn, skeletomusculaire pijn en gewrichtspijn met o.a. de onderstaande technieken.
Wij behandelen niet:
- Patiënten onder de 18 jaar.
- Lage rugpijn met injecties waarvoor een röntgenapparaat nodig is.
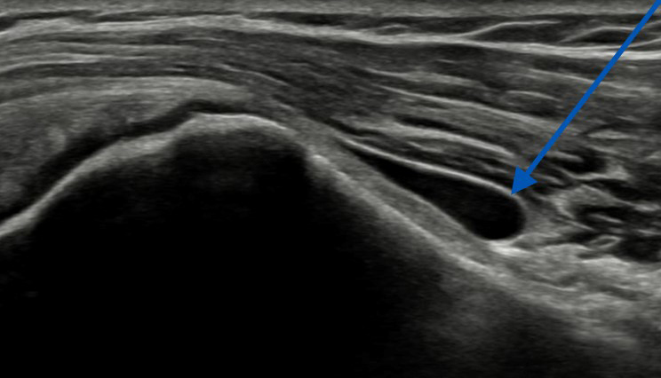
Pijnblokkade

Bij PijnMC kunnen wij uw pijnklachten verminderen door een echografische ingrepen uit te voeren.
Er zijn diverse echogeleide ingrepen die wij afhankelijk van uw specifieke klachten kunnen bieden. Lees meer
Qutenzapleisters

Qutenzapleisters zijn ontwikkeld om neuropathische pijn en pijn na herpes zoster te behandelen. De pleister bestaat uit 8% capsaïcine en wordt 30 minuten tot 1 uur op de pijnplek geplakt. Lees meer
Medicatie

De behandeling van pijn is en blijft voor ons altijd maatwerk. Samen met u zoeken we naar het medicijn of een combinatie van medicijnen en behandelingen, die het beste bij u past.
Het kan zijn dat we verschillende medicijnen moeten uitproberen voordat we het meest geschikte vinden, en natuurlijk houden we eventuele bijwerkingen in de gaten. Lees meer
Pijnstillende crèmes

Wanneer de pijn in een klein gebied van uw lichaam is, kunnen de zelfontwikkelde pijnstillende crèmes een uitkomst bieden. Binnen 30 minuten kunt u een duidelijke pijnverlichting ervaren. Lees meer
Fysiotherapie

We streven ernaar om u de best mogelijke fysiotherapeutische zorg te bieden, afgestemd op uw individuele behoeften en specifieke aandoening.
Ons team van fysiotherapeuten zal nauw met u samenwerken om een persoonlijk behandelplan op te stellen en u te begeleiden tijdens uw herstelproces. Lees meer
TENS

Elektrische stroom over het pijngebied kan een directe en langdurige pijnverlichting geven. Dit komt, omdat lichaamseigen pijnstillende stoffen vrijkomen. Deze therapie heet TENS. Lees meer
Supplementen

Lichaamseigen stoffen of vitamines in pilvorm kunnen soms positieve effecten hebben op pijn. Met name supplementen waar veel wetenschappelijk onderzoek mee is gedaan, en er aanwijzingen zijn dat deze stoffen de pijn kunnen verminderen, zijn interessant om uit te testen. Lees meer
Wat wordt er vergoed?

PijnMC is een zelfstandig medisch specialistisch pijnbehandelcentrum en biedt pijnverlichtende zorg aan op drie niveaus:
1) Verzekerde zorg uit de basisverzekering
2) Verzekerde zorg uit het aanvullend pakket
3) Onverzekerde zorg.
Lees meer